2研究成果 / 次世代電池
R-15
2025

フッ化物電池におけるフッ化反応領域の結晶方位分布可視化

アピールポイント
充電生成CuF2の結晶方位分布を初めて高分解能で可視化
【技術シーズ:透過電子顕微鏡法/結晶方位マッピング】
背景・課題
・フッ化物電池は高エネルギー密度を有する次世代蓄電池の一つ
・Cuはフッ化物電池における安価で高容量な正極候補材料であるが、サイクル劣化が問題
・フッ化反応過程における微細構造の変化すら分っていない。
・充電時のCuからCuF2へのフッ化反応における結晶方位変化や界面構造を解明する。
解決手段
・透過電子顕微鏡法の結晶方位マッピング法を用いて、薄膜モデル電池における充電で生成したCuF2相の結晶方位をナノスケールで解析し、可視化
成果・新規性
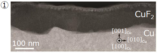
①ADF-STEM像とEELSマップ測定から単結晶Cu正極の約100 nmの領域においてCuF2が形成していることを確認
②CuF2領域から結晶方位マップを取得することで、Cu正極内のCuF2相の分布状態とCuF2のナノレベルの結晶方位を可視化することに成功





Cu基板上でのCuF2のランダム配向での生成と非整合的な界面構造
期待される市場・応用
・フッ化物電池
謝 辞:本研究は、NEDO委託業務「電気自動車用革新型蓄電池開発(RISING3)」(JPNP21006)の一環として実施されたものである。
担当者:黄馨慧、小林俊介、桑原彰秀
共同研究者:(京都大学)佐藤和之、(東京大学/JFCC)幾原雄一
